VIRUELA AVIAR
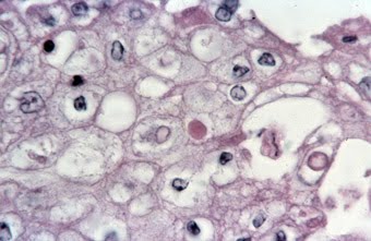
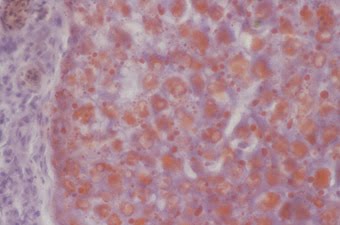
Histopatológicamente, las lesiones causadas por la difteroviruela aviar se caracterizan por presentar una marcada hiperplasia epitelial, zonas de necrosis y abundantes cuerpos de inclusión acidófilos de gran tamaño en el interior de los queratinocitos (corpúsculos de bollinger). La presencia de un solo cuerpo de inclusión junto con una sintomatología típica de viruela, es suficiente para el diagnóstico definitivo.
Te puede interesar: https://aviantecnic.shop/producto/inmune-plus-avianvet-refuerza-sistema-inmune/
Te puede interesar: https://aviantecnic.shop/producto/vitamina-a-plus-avianvet-vitamina-a-en-polvo/


Puede aceptar expresamente el uso de cookies o rechazar la instalación, de aquellas que no sean las indispensables para el funcionamiento de la web, pulsando el botón para cerrar el banner. También puede acceder a información más detallada y cambiar Sus preferencias antes de otorgar o negar su consentimiento. Tenga en cuenta que algún procesamiento de sus datos personales puede no requerir de su consentimiento, pero usted tiene el derecho de rechazar tal procesamiento. Para más información puede consultar nuestra